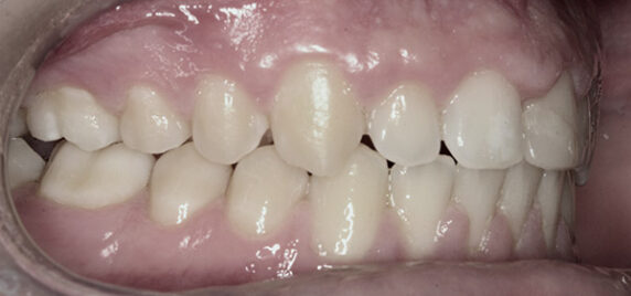
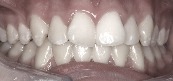
Before and after braces

We transformed these smiles using the latest fixed and removable braces.

To start your smile journey, visit us for a free no-obligation consultation in Hove.

Fixed braces

This complex NHS case was treated using metal fixed braces. It’s a great example of what can be achieved with braces. Through the NHS, our specialist orthodontists treat the most complicated cases, sometimes working with other specialists for the best result.

Invisalign Lite

Using Invisalign Lite, we straightened this patient’s upper and lower front teeth quickly and discreetly. Invisalign Lite is a fantastic way for us to treat straightforward cases in less than 12 months.

Invisalign Comprehensive

We transformed this smile using Invisalign Comprehensive – the most capable Invisalign aligner system. One of its many great features is a 3D treatment plan that shows you how your teeth will move during your treatment.

Invisalign Comprehensive

Another Invisalign transformation! It took our specialists 15 months to align this patient’s crowded teeth and reduce her overbite for a beautiful result. We’ve fitted discreet fixed retainers behind her front teeth to keep her smile straight for years to come.

Fixed braces

Using fixed braces, we straightened this patient’s smile and widened her arch to achieve a beautiful result. Hidden fixed retainers will now help to keep her teeth in their new position.

Fixed braces

Sometimes small adjustments can make a big difference. This patient wore fixed braces for 16 months to straighten out their smile.

Invisalign Comprehensive

This transformation involved nine months of Invisalign, followed by home teeth whitening. Youโ€™ll also spot that this patient had a lower tooth replaced with an implant. We often work alongside other specialists to deliver the best outcome.

Invisalign Lite

Invisalign Lite is perfect for treating minor misalignments. After 7 months of clear aligners and a few tweaks, this patient is now sporting a beautiful straight smile.

Invisalign Comprehensive

It took approximately 12 months to take these teeth from crooked and crowded to perfectly aligned using custom-made clear aligners.

Functional braces

Here’s an example of a challenging case we treated in two phases. A functional appliance was first used to improve this patients bite, followed by fixed braces to align their teeth.

Fixed braces

We treated this complex case using fixed braces under the NHS. NHS orthodontic care is available to under 18s who need treatment for dental health reasons. Your dentist can refer you for a free NHS assessment to see if you qualify.

Invisalign Comprehensive

We aligned this patient’s teeth and perfected the shape of their arch with the help of Invisalign Comprehensive. Discreet retainers will hold their teeth in position to maintain their confident new smile.

Fixed braces

This patient was referred to us by their dentist for NHS treatment. We used fixed braces and elastics to correct their overbite and overjet to improve the way their teeth function and bite together.

Fixed braces

We used fixed braces to straighten this patient’s teeth and reduce their overbite. Fixed braces provide us with incredible control and allow us to make very precise movements.